A tooth with post is a common way dentists near Lake St. Louis, MO save a badly broken or root-canal-treated tooth. If you live near Lake St. Louis, MO, and have a tooth that is weak, cracked, or already treated with a root canal, a tooth with post may be recommended to rebuild and hold a crown. This article explains what a tooth with post is, how it’s placed, signs it may be failing, alternatives, and how to care for it near Lake St. Louis, MO.
What Is a Tooth With Post Near Lake St. Louis, MO?
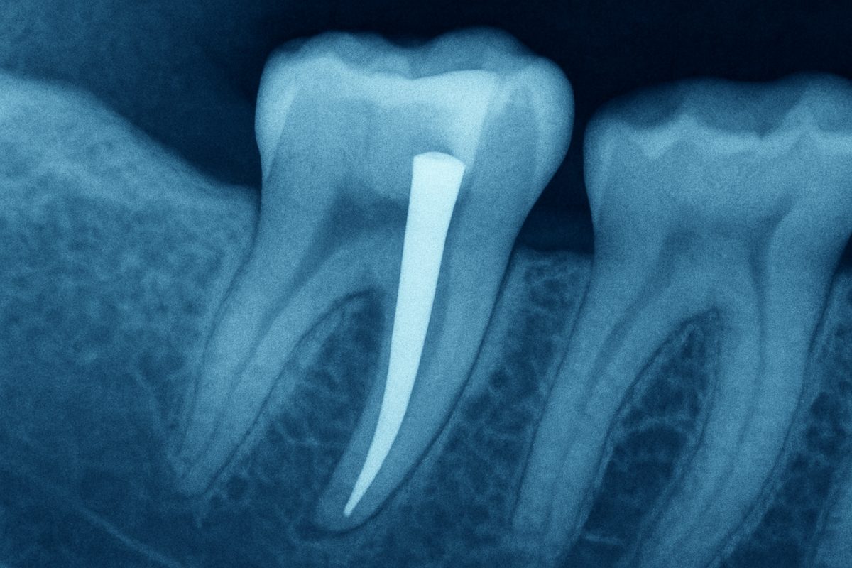
Definition and basic purpose
A tooth with post is a natural tooth that had a root canal and then received a post inside the root. The post helps hold a core buildup and the final crown when there isn’t enough natural tooth structure left. The post does not replace the root; it reinforces the tooth so the crown can stay secure.
When dentists recommend a post
Dentists often recommend a post after a large portion of the tooth is lost to decay, fracture, or previous large fillings. If a tooth has had a root canal and there isn’t enough tooth to support a crown on its own, placing a post helps keep the restoration stable. Your dentist near Lake St. Louis, MO will evaluate how much tooth remains and whether a post is the best choice.
Types of Posts and Materials
Prefabricated vs. custom cast posts
Prefabricated posts come ready-made and are quicker to place. They work well in many cases and are less costly. Custom cast posts are made in a lab to match the exact shape of the root canal; they can fit better for unusual canals but add time and cost. Your dentist will weigh fit, strength, and cost when choosing.
Metal posts vs. fiber posts
Metal posts are very strong but can show through thin teeth and may stress the root. Fiber posts are tooth-colored, more flexible, and transfer less force to the root, lowering fracture risk. Fiber posts are often preferred for front teeth or when esthetics matter. Your dentist near Lake St. Louis, MO will suggest the best material for your tooth’s location and condition.
How a Tooth With Post Is Placed
Initial exam and imaging
Placement starts with an exam and X-rays or CBCT scans to check root health and bone. Imaging shows root shape, length, and any signs of infection. Good imaging helps avoid complications before making space for a post.
Root canal completion and post space preparation
The root canal must be well sealed first. The dentist removes some of the root filling (gutta-percha) to create a space for the post while keeping a seal at the root tip. Careful measurements prevent weakening the root or exposing the canal.
Post selection, cementation, and building the core
After selecting the appropriate post, the dentist fits it, then cements it into place. A core material is built around the post to recreate the tooth’s shape. This core supports the final crown and restores function.
Final crown and timeline
Once the post and core are stable, impressions or scans are taken for a crown. Timeline varies but often requires two or three visits over a few weeks. Patients may feel mild sensitivity after each step, but severe pain is not normal and should be reported.
Signs a Tooth With Post May Be Failing Near Lake St. Louis, MO
Pain, mobility, and swelling
Persistent or worsening pain, looseness of the tooth, or swelling around the gum can signal a failing post, root fracture, or recurrent infection. Don’t ignore these signs—early evaluation near Lake St. Louis, MO can save options.
Visible changes and bite problems
Discoloration, an exposed post, or changes when you chew (high bite or discomfort) may mean the restoration is compromised. A cracked crown or core can change how the tooth fits with the opposite teeth.
When to get X-rays or an emergency exam
If you have pain, swelling, mobility, or sudden bite changes, get X-rays and an exam right away. Imaging can show root fractures, gaps around the post, or new infection that may need retreatment or different care.
Alternatives to a Tooth With Post
Dental implant
A dental implant replaces the root and crown with a titanium implant and crown. Implants avoid risks of root fracture but require surgery and sufficient bone. Implants are long-lasting and often the best option when a tooth cannot be reliably saved.
Fixed bridge
A bridge uses neighboring teeth as anchors to replace a missing tooth. It’s faster than an implant but requires altering healthy teeth. Consider a bridge if nearby teeth already need crowns or if implants aren’t an option.
Extraction and removable options
If a tooth must be removed, partial dentures or flippers are removable options that restore appearance and function temporarily or long-term. They are lower cost but less stable than implants or fixed bridges.
How to choose the right option near Lake St. Louis, MO
Decide based on bone health, long-term prognosis, budget, and personal preference. A careful exam near Lake St. Louis, MO with imaging and clear explanations will help you choose the best path.
Care and Maintenance for a Tooth With Post
Daily oral hygiene tips
Brush twice daily with fluoride toothpaste and floss daily. Use floss threaders or interdental brushes around crowns to remove plaque. Good hygiene reduces the risk of decay and gum disease around the restored tooth.
Foods and habits to avoid
Avoid biting hard foods, chewing ice, nail-biting, or opening packages with your teeth. If you grind or clench, ask about a nightguard to protect a tooth with post near Lake St. Louis, MO.
Routine follow-up and when to call your dentist
See your dentist for regular exams and X-rays as recommended—usually every six months or based on risk. Call sooner for pain, swelling, looseness, or broken crowns.
Finding Help for a Tooth With Post Near Lake St. Louis, MO
What to look for in a dentist
Look for experience in endodontics and restorative dentistry, modern imaging (CBCT/X-ray), and options like implants if the tooth can’t be saved. Clear communication and a treatment plan are important.
About New Creation Dental Care
New Creation Dental Care in Lake St. Louis, MO offers family and restorative care with advanced training in implants and periodontal care. Dr. Boscia and Dr. Krance use modern imaging and implant protocols and provide compassionate, personalized care in a comfortable office.
If you suspect a problem with a tooth with post near Lake St. Louis, MO, schedule an exam and X-rays. Early evaluation gives you the best chance to save the tooth or choose the right alternative. In summary, a tooth with post can be a reliable way to restore a tooth after a root canal when done correctly. Watch for pain, loosening, or bite changes and seek prompt care near Lake St. Louis, MO to protect your oral health.



